ДИАФРАГМА

Рисунок 1. Диафрагма снизу и спереди: 1—сгш mediale diaphragmatis; 2—crus Intermedium; 3—crus latcrale; 4—for. venae cavae; 5—pars sternalis diaphragmatis; в—parscostalis diaphr.; 7—centrum tendineum; «—hiatus oesophag.; 9—pars lumbalis diaphragm.; 10—hiatus aor-ticus; 11 и is—arcus lumbo-costalis med. et lat.; 12—trigonum lumbo-costale (Bochdaleki); 14—m. quadrat, lumborum; IS—m. transversus abdom.; 16—m. obliquus int. abdom.; 17—m. obliquus ext. abdom.; IS—m. iliacus; 19—m. psoas major; 20—m. psoas minor; 21—тело V поясничного позвонка. (По Spalteholz'y.)
ся сухожильных и эластических волокон. В мышечной части Д. различают: грудинную часть (pars sternalis), реберную (pars costa-lis) и поясничную (pars lumbalis). Грудинная часть самая слабая, индивидуально изменчивая, начинается пучками от внутренней поверхности мечевидного отростка грудины (ргос. xiphoideus sterni). Реберная часть начинается пучками от внутренней поверхности хрящей VII — XII ребер между местами прикрепления пучков поперечной мышцы живота. Реберные пучки Д. круто подымаются кверху; между ними и стенкой грудной клетки имеется узкое реберно-диаф-рагмальное пространство (sinus costo-dia-phragmaticus); оно выстлано пристеночной плеврой и изменяется при дыхании по своей форме и величине. Поясничная часть состоит из трех ножек.-Из них медиальная ножка (crus mediale) начинается от тела последнего грудного и поясничных позвонков (до III слева и до IV справа) и вплетается своими сухожильными волокнами в переднюю продольную связку позвоночника (lig. longitudi-nale vertebrarum anterius); средняя ножка (crus intermedium), самая слабая, начинает-
Рисунок 2. Диафрагма со стороны грудной полости: 1— centrum tendineum; 2—arcus lumbo-costalis lat.; 3—II поясничный позвонок; 4— отверстие для m. psoas; 5—I поясничный позвонок; в—hiatus aorticus; 7—arcus lumbo-costalis med.; s—crus intermedium; 9—crus late-rale; 10—XII ребро; 11—trigonum lumbo-costale (Bochdaleki); 12 и 21—pars costalis diaphragmatis; 13—VII ребро; 14—граница перикарда (обозначена пунктиром); is—hiatus oe-sophageus; 16—trigonum sterno-costale (Lar-rey); 17—corpus sterni; IS—pars sternalis diaphragmatis; 19—VI ребро; 20—for. venae cavae. (По Braus'y.)
ся от тела II поясничного позвонка; наконец лятеральная ножка (crus laterale) берет начало от т. н. Галлеровских сухожильных дуг; из них одна (медиальная) натянута от тела I (или II) поясничного позвонка к его поперечному отростку (arcus lumbo-costalis medialis s. arcus psoatis), а вторая (лятеральная)—от поперечного отростка I (или II) поясничного позвонка к свободному краю XII ребра (arcus lumbo-costalis lateralis s. arcus quadrati lumborum). Из-под медиальной дуги выходит большая поясничная мышца (m. psoas major), а из-под литеральной— квадратная поясничная мышца (m. quad-ratus lumborum). В Д. имеется ряд отверстий для сосудов, нервов и нек-рых органов. Так, между сухожильными пучками медиальных ножек и позвоночником—отверстие (hiatus aorticus) для аорты, симпат. периаортального сплетения (plexus periaortalis) и лимф, грудного протока (ductus thoracicus); выше него, между переплетающимися между собой медиальными ножками,—отверстие для пищевода (hiatus oesophageus), а также обоих Ml блуждающих нервов. В сухожильной части Д. — отверстие для нижней полой вены (foramen venae cavae), а также для веточек грудобрюшного нерва (rami phrenico-abdo-rninales nervi phrenici). Между медиальной и средней ножками проходят: вены—непарная (v. azygos) справа и полунепарная (v. hemiazygos) слева, большой чревный нерв (п. splanchnicus major) и малый чревный нерв (п. splanchnicus minor), к-рый иногда прободает среднюю ножку; между средней и литеральной ножкой лежит пограничный ствол симпатич. нервной системы (truncus sympathicus). Далее, в Д. отличают между мышечными волокнами сухожильные поля: грудино-реберный треугольник (trigonum sterno-costale, s. trigonum Morgagni, s. trigonum Larrey) и реберно-поясничный (trigonum lumbo-costale, s. trigonum Boehdaleki). Первый из них прободают кровеносные сосуды (vasa epigastrica superiora).—Д. покрыта со стороны брюшной полости на большой части своего протяжения пристеночным листком брюшины, к-рая отделена от Д. забрю-шинной клетчаткой; брюшины нет лишь там, где от Д. отходит венечная связка печени и где к Д. прилежат двенадцатиперстная кишка, поджелудочная железа, почки и надпочечники, а также вокруг отверстий пищевода и полой вены; снизу к Д. прилежат кроме того печень, желудок и селезенка. Со стороны грудной полости пристеночный листок плевры покрывает Д. лишь там, где к Д. прилежат легкие, и в реберно-диафрагмаль-ных синусах. Между Д. и плеврой находится клетчатка (fascia endothoracica), а там, где к Д. прилежит околосердечная сумка, только очень плотная клетчатка прочно спаивает их между собой. Топографическое положение диафрагмы крайне изменчиво (рисунок 3): на трупах—в зависимости от возраста и болезненных процессов, а у живых сверх того и от дыхательных смещений Д., от состояния органов обеих полостей и наконец от конституции. В среднем в норме принимается следующее: нижние границы Д. соответствуют местам прикрепления Д. к грудной стенке, верхушка правого купола находится на IV, а левого—на V межреберном промежутке, сердечная впадина-— на уровне прикрепления пятых ребер к грудине (рис. 4). При дыхании сердечная впадина и оба купола смещаются крайне незначительно (не более, чем на 2—3 см), но изменяется главным образом форма боковых частей диафрагмы: грудная клетка расширяется, и увеличиваются в размерах запасные реберно-диафрагмальные пространства, в которые и устремляются расправляющиеся легкие. Д. развивается довольно сложно: сначала образуется ее соединительноткан- ная основа, а затем в последнюю врастают мышечные элементы. В свою очередь основа Д. развивается в своей передней части из поперечной перегородки (septum transversum), отделяющейся от вентральной и литеральных стенок общей полости тела зародыша; задняя же часть основы Д. развивается от дорсальной стенки плевро-перитонеальных ходов, соединяющих плевральную и брюшную полости тела у зародыша. Мышечные элементы врастают из мышечных зачатков IV и V шейных мышечных сегментов (миоме-ров), при чем повидимому первый из них дает реберно-грудинную часть Д., а второй— поясничную часть. При своем развитии Д. спускается из шейной области вместе с сердцем и легкими. Соответственно этому в случае недоразвития Д. в ней остаются щели, и через них могут проходить диафрагмальные грыжи. Сравнительно-морфологически Д. является новым образованием и имеется в полном развитии только у млекопитающих. Диафрагма получает кровь из ветвей подключичной артерии (a. pericardiaco-phrenica и a. musculo-phrenica из a. mammaria int.), из грудной аорты (a. phrenica superior) и из брюшной аорты (a. phrenica inferior).— Вены диафрагмы идут параллельно артериям и отводят кровь в трех направлениях: с нижней поверхности—в v. cava inferior, впадая в нее б. ч. двумя стволами у места прободения ею Д.; с верхней—большей частью через vv. pericardiaco-phrenicae и musculo-phrenicae в vv. mammar. ant. и меньшей частью—из области медиальных ножек в vv. azygos и hemiazygos. Кроме этих путей для оттока имеются богатые анастомозы с vv. intercostales нижних шести межреберий, частью с yv. lumbales ascen-
Рисунок 3. Диафрагма: l—жа. трупе; 2—у шивого в стоячем положении; 3—у живого в лежачем положении; 4— при лежании на левой стороне; 5—при лежании па правой стороне; а—положение диафрагмы при выдохе; 6-при спокойном вдохе; с-при глубоком вдохе. Горизонтали А, В, С, D представляют положение тени диафрагмы на поверхности тела у живого: А—при выдохе (на левой стороне) при спокойном дыхании (начало запасного пространства и р< берио-диа^рагмального угла в положении а); В—наиболее, низкий пункт, к-рого достигают легкие у нормального человека (начало запасного пространства и, реберно-дьафрагмального угла в положении с); С—наиболее низкий пункт pleurae parietalis (конец запасного пространства); D—начало диафрагмы на ребрах. На рис. 1 pleura parietalis изображена сплошной линией, pleura visceralis—пунктирной линией. На рис. 2—5 указано полеже-______________________ ние ключиц. (По рентгенограмме из Braus'a.)
Б. Ж. Э. т. IX. dentes, частью с vv. oesophageae; и наконец все три вышеуказанные венозные системы взаимно анастомозируют друг с другом. Лимфатические сосуды Д. связаны с лимфатической системой грудной и брюшной
7 8 9
Рисунок 4. Фронтальный разрез через туловище взрослого человека, спереди (схематически): 1—apertura thorac. sup.; я—межреберные мышцы; 3—правое легкое; 4—печень; S—duodenum; в—X ребро; 7—pancreas; 8—тонкая кишка; 9—colon descend.; 10—отхоявдение диафрагмы от грудной стенки; 11—заворот плевры; 12— sinus phrenico-costalis; 13—желудок; 14—ре-берно-диафрагмальный угол; IS— pleura diaphragm.; 1в—pleura costal is; 17—плевральная полость (легкое удалено); 18—pleura mediast.; 19—mediast. ant.; 20—I ребро. (По Braus'y.) полостей. От верхней поверхности диафрагмы лимфа при посредстве наддиафраг-мальных желез направляется к грудин-ным, передним и задним медиастинальным и межреберным железам, откуда поступает пли в правый лимф, или в грудной протоки; из нижних межреберных—в receptaculum chyli. От нижней поверхности Д. лимфа через верхние возле-аортальные, пред-аортальные и пищеводные лимф, железы направляется в receptaculum chyli. Наконец, благодаря наличию третьей системы лимф., протоков, прободающих диафрагму, устанавливается тесная анат. связь между подплев-ральным и поддиафрагмальным пространством. Этой связью объясняется возможность перехода воспалительных процессов из одного в другое, в частности—образование плевритических выпотов при поддиа-фрагмальном гнойнике и паранефритов при гнойном плеврите на той же стороне. Путями передачи инфекции в этих случаях может быть или область треугольника Бог-далека (см. выше) или указанная 3-я система прободающих лимфотоков. в. гиндне. Иннервация Д. изучена лишь в последнее время благодаря работам Феликса, Гёце (Felix, Goetze), Кутоманова. Иннервация эта осуществляется нервом Д. (п. phre-nicus, рис. 5), межреберными и симпат. нер- вами. Вопрос, является ли п. phrenicus единственным моторным нервом Д., как находят Руссель, Фукс (Russel, Fuchs) и др., или в моторной функции принимают участие и другие нервы, остается открытым. Феликс дает I такую схему: средняя часть, примыкающая к позвоночнику, снабжается диафрагмаль-ным нервом и симпатическим; по обеим сторонам этого участка сравнительно небольшая область снабжена двигательными волокнами XII межреберного нерва, остальная часть Д. иннервируется только диафрагмаль-ным нервом (рис. 6). Операция перерезки у человека диафрагмального нерва (френико-томия) позволила за последнее время твердо установить наличие в нем и центрипеталь-ных чувствующих волокон. Повышение кровяного давления, изменение ритма дыхания и наконец иррадиирующие боли в плечо являются постоянными симптомами острого раздражения диафрагмального нерва. Сим-патич. волокна п. phrenicus получает из двух нижних, шейных симпатич. узлов и иногда из
Рисунок 5. Диафрагмальный нерв и его начало: /—анасюмоз между II и III шейными нервами; 2—наружная ветвь п. accessorii; 3, 7 и 15—пп. trapezii; 4— ramus auricularis magnus; ■5—ramus cervicalis transversus; в— ram. subcla-vicularis; 8—nil. trapezius et rhomboideus; 9—n. subclavicularis; 10—n. scapul. sup.; 11—ram. inf. n. pectoralis; 12—n. pectoralis minor; 13—n. hypoglossus; 14—анастомоз между п. cervic. Ill и п. accessorius; 16—нисходящая ветвь plexus cervicalis; 17—п. phrenicus; 18— plexus sympathicus a. cervicalis; 19—plexus sympathicus a. scapul. sup.; 20—n. pectoralis sup. (По Hovelacque'y.)
первого грудного; они образуют «надплев-ралыгое сплетение» (plex. suprapleuralis), расположенное на куполе Д. Кроме того с нижней стороны Д. получает симпат. волокна из солнечного сплетения. Опыты Кен Куре (Ken Kure) показали, что перерезка этих симпат. волокон ведет к дегенерации диафрагмальных мышц, тогда как перерезка спинномозговых нервов вызывает |атрофию от бездеятельности. Помимо диафрагмального нерва Д. снабжается чувствующими волокнами от последних шести межреберных нервов (VII—XII). Д. Ромашов. Функция диафрагмы может быть разделена на две части: статическую и динамическую. Статическая функция Д. имеет своим назначением выравнивать образующуюся разницу внутриполостных давлений грудной и брюшной полостей и тем при нормальных условиях препятствовать втягиванию брюшных органов в грудную полость. Эта функция Д. находится в тесной и непосредственной зависимости от правильной координации трех факторов: положительного давления в брюшной полости, отрицательного давления (силы ретракции легких) в грудной полости и тонуса самой Д., к-рый, согласно опытам Дюшена (Duchenne), весьма значителен и может противостоять большой силе.—Д инамическая функция Д. находится в тесной зависимости от тонуса Д. и включает в себя три отдельные функции: респираторную, кардио-васкулярную и мо-торно-пищеварительную. 1. Респираторная функция Д., считавшаяся в прежнее время наиболее важной и значительной функцией Д., в наст, время уже не может быть признана таковой. Со времени введения френикотомии как метода, выключающего функцию Д., можно было убедиться, что выключение Д. не угрожает дыхательной функции легких. Даже двустороннее выключение Д. нисколько не влияет на респираторную функцию легких (Dunner). Лица с выраженным астеническим складом почти вовсе не дышат Д., а по утвержденито Моссо (Mosso) у мужчин во сне имеется исключительно грудной (реберный) тип дыхания. 2. Кардио-васкулярная функция Д. выражается в том, что при вдохе как сердечная сумка, так и лежащая в ней самая нижняя часть верхней полой вены, расширяются. В то же время понижение Д. и одновременное повышение внутрибрюш-ного давления выжимают кровь из печени в нижнюю полую вену, что и способствует постоянному оттоку венозной крови в правое сердце. 3. Моторно-пищевари-тельная функция Д. наиболее многообразна. В отношении пищевода Д. имеет большое значение в том отношении, что при всяком вдохе пищеводное отверстие Д. суживается почти до полного закрытия просвета пищевода, при всяком же выдохе вновь расширяется и т. о. является фактическим жомом пищевода. На желудок Д. оказывает значительное влияние в смысле периодических движений его, синхронных с дыхательными движениями Д. Большое значение имеет также, с одной стороны, постоянное скопление воздуха в кардиальной части желудка в результате инспираторного наса-сывания воздуха («аэроспирия»), с другой стороны—удаление чрезмерно скопившегося воздуха при помощи отрыжки (сокращение брюшного пресса при одновременном сильном инспираторном понижении Д. и открытой кардии). Аналогично действует Д. и на кишечник. В момент выдоха газы устремляются в селезеночную кривизну, в момент вдоха—продвигаются по направлению к выходному отверстию. Точно так же Д. способствует дефекации, значительно усиливая при своем инспираторном понижении действие брюшного пресса. Наконец следует упомянуть о массажном действии Д. на желчные пути и особенно на желчный пузырь. Сюда же следует отнести и совершенно аналогичное действие Д. на почечные лоханки. Методы исследования диафрагмы. Анамнез не имеет почти никакого значения. При
Рисунок 6. Схематическое изображение дыхательной иннервации. Дыхательный центр в suli-stantia reticularis проходит от высоты calamus scriptorius до уровня atlas. К нему доходят возбуждения от промежуточного мозга, от заднего четверохолмия, от trigeminus (V) (слизистая оболочка носовой полости) п от легочных ветвей vagus'a. От дыхательного центра идут центрифугальные импульсы через п. facialis (VII) к мускулатуре, которая подымает крылья носа и открывает рот, через п. vagus (X) (п. recurrens)—к мускулатуре гортани, через п. phrenicus к диафрагме, через межреберные нервы к межреберной мускулатуре и через верхние поясничные нервы к мускулатуре брюшной стенки. К п. pnrenicus примыкают симпатические волокна от ganglion stel-latum, а следовательно от gangl. suprapleurale, которые и достигают вместе с ним до диафрагмы. Диафрагма, сверх того* получает нервный пучок и гаиглиозные клетки от п. splanch-nicus, а через pi. Solaris симпатические волокна и группы ганглиозных клеток достигают также и до нижней поверхности диафрагмы. (Из Mtiller'a.)
п а л ь п а ц^и и можно проследить дыхательные экскурсии Д., исследуя печень и селезенку, почти в точности повторяющие движения Д. Перкуссия позволяет определить границу между двумя прилегающими органами, разделяемыми.Д. Осмотр припо- ♦6 мощи феномена Гергард-Литтена (линейная круговая тень в области нижнего края легких, при каждом вдохе опускающаяся вниз) дает возможность установить подвижность Д. Наиболее важным методом исследования является р ентгеновский, позволяющий с легкостью исследовать форму, положение, подвижность и тонус Д. При рентгеновском исследовании Д. представляется в виде двух дугообразных линий, правой—выше стоящей и левой—ниже стоящей, разделенных между собой тенью сердца. Правая дуга, изредка также и левая, иногда состоит из двух или трех перекрещивающихся дуг, зависящих от неравномерного сокращения отдельных мышечных пучков Д. и придающих Д. фестонообразную форму (феномен Maingot, см. отд. табл., рис. 5).—Правая дуга видна на всем протяжении, левая видна только в части, лежащей над желудком и селезеночной кривизной толстой кишки (или селезенкой). Высота стояния обоих куполов варьирует у разных людей, но в общем с возрастом несколько понижается. При дыхании обе половины равномерно и синхронно опускаются и подымаются в зависимости от респираторной фазы. Величина и направление их экскурсий зависят от типа дыхания, от телосложения и от развития мускулатуры. Зависимость от мускулатуры выражается в том, что у людей со слабой мускулатурой движения Д. имеют в общем значительно меньший размах. Телосложение влияет в том смысле, что у людей с астеническим сложением и с общим птозом Д. почти не принимает участия в дыхательных движениях. При брюшном типе Д. понижается при вдохе, повышается при выдохе, при чем величина ее экскурсий зависит от силы дыхания, но передние части ее (слабая грудинная часть) совершают значительно меньшие экскурсии, чем более крепкие задние (поясничная), что особенно хорошо видно при боковом просвечивании. При чисто реберном типе дыхания можно при просвечивании в задне-переднем направлении видеть, как купол Д. при вдохе подымается, хотя и на незначительную величину, вверх. Однако при боковом просвечивании видно, что только слабая грудинная часть Д. подымается вместе с грудной стенкой вверх, более же крепкая поясничная часть опускается при вдохе вниз. При наиболее частом смешанном типе дыхания инспираторная фаза начинается с брюшного дыхания, вследствие чего Д. опускается вниз, но к концу инспираториой фазы превалирует реберное дыхание, вследствие чего Д. вместе с грудной стенкой подымается вверх. При выдохе происходит обратное, т. ч. в общем Д. при полном обороте делает 4 движения: вниз-вверх-вниз-вверх. Фнкц. способность каждой половины Д. может быть определена при помощи рентгеновского исследования опытом Мюллера (Mtiller)—вдох при закрытой голосовой щели, при к-ром ослабленная половина Д. совершает большую экскурсию вверх, чем здоровая,—или же феноменом экспираторного ускорения движения Д. (Диллон), при к-ром после максимального вдоха ослабленная половина Д. устремляется вверх еще до начала выдыхания или во время экспирации идет быстрее вверх, чем здоровая. Патология Д. Пат. состояние Д. может быть результатом нарушения координации указанных выше факторов ее нормального состояния: внутрибрюшного давления, ретракции легких и тонуса самой Д. Результатом изменения первых двух факторов будет то или иное изменение стояния Д. при общем сохранении ее динамической функции, при чем изменение это может быть как односторонним, так и двусторонним. Так, Д. стоит выше нормы при всяком повышении внутрибрюшного давления (асцит, метеоризм, общее ожирение, опухоли брюшной полости, беременность в последние недели) или при уменьшении ретракции легких (бронхостеноз, цироз легких, плевральные шварты). Наоборот, Д. стоит ниже нормы в случае понижения брюшного давления (энтероптоз) или в случае повышения внутри-грудного давления (пневмоторакс, эмфизема). При изменении тонуса самой Д. наступает не только изменение положения Д., но и нарушение ее функции. В редких случаях может быть усиление тонуса. Д. (тетания, икота), в большинстве же случаев имеется понижение. Последнее может зависеть от ослабления мышцы при заболевании Д. или при переходе воспаления с диафрагмальной плевры или с брюшинного покрова на самую мышцу — «острый парез диафрагмальной мышцы» Ома (Ohm). Чаще всего однако потеря тонуса диафрагмы зависит от паралича или пареза диафрагмального нерва или же может быть искусственно вызвана перерезкой или вырыванием его в лечебных целях при заболеваниях легких (см. отд. табл., рис. 4). Непременным следствием потери тонуса Д. будет перемещение ее вверх (превышение внутрибрюшным давлением вну-тригрудного). Однако на правой стороне этому будет препятствовать тяжелая печень с ее связками, на левой стороне, наоборот, этому будут содействовать лежащие под Д. газосодержащие органы (желудок и селезеночная кривизна толстой кишки), стремящиеся переместить. Д. вверх. Результатом такого перемещения Д. вверх явится смещение органов как грудной клетки (пищевод, легкие, сердце), так и брюшной полости (желудок, селезеночная кривизна). Наиболее выраженной формой такого заболевания, почти всегда левостороннего, является т. н. диафрагмальная эвентрация (правильнее—одностороннее стойкое повышение диафрагмы—см. отд. табл., рис. 6). Основными признаками этого заболевания являются ".высоко стоящая дуга Д., большое количество газа в желудке и селезеночной кривизне,аортальная форма сердца, смещение его вправо, в далеко зашедших случаях деформация желудка и парадоксальные движения пораженной половины Д. Смещение Д. и соседних с ней органов в редких случаях может протекать без всяких ощущений для б-ного; большей же частью оно дает целый ряд иногда чрезвычайно тяжелых явлений, которые могут быть сведены к трем группам. 1. Группа легочно-плевральных явлений: они обычно наименее тяжелы и выражаются в болях в груди, одышке и кашле. 2. Группа



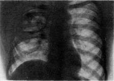
Рисунок 1. Парез левой половины диафрагмы вследствие острого инфекционного воспаления диафраг-мального нерва у молодой женщины. Рисунок 2. Поддиафрагмалышй газовый абсцес. Высокое стояние правой половины диафрагмы. Рисунок 3. Врожденная левосторонняя диафрагмальная грыжа у новорожденного. Рисунок 4. Парез правой половины диафрагмы вследствие френикотомии. Рисунок 5. Фестончатая диафрагма (справа) (феномен Maingot). Рисунок 6. Одностороннее стойкое повышение диафрагмы (т. н. eventratio diaphragmatica).
К ст. Диафрагма. сосудисто-сердечных явлений, наиболее тяжелых, иногда достигающих силы настоящих ангинозных припадков: тяжесть, давление и боли в области сердца, одышка, бра-дикардия, иногда тахикардия, экстрасисто-лии и аритмия пульса, часто сразу исчезающие после отрыжки. 3. Группа желудочно-кишечных явлений (наиболее многочисленная). Сюда относятся явления со стороны пищевода, выражающиеся в дисфагии, периодической или постоянной, иногда в виде парадоксальной, как ее назвал Лейхтен-штерн (Leichtenstern). Явления со стороны желудка: отрыжка,иногда огромным количеством воздуха, боли в области желудка, тошнота, рвота, иногда язвенные симптомы (кровавая рвота). Явления со стороны кишок: чувство полноты, вздутие, особенно в области левого надчревья, иногда упорные запоры как следствие воздушного вентиля, образующегося в селезеночной кривизне (Дил-лон). Описываемые симптомы не предста-» вляют ничего характерного и потому до введения рентгеновского исследования относились за счет разнообразных заболеваний. Только со времени Рентгена число описанных случаев одностороннего стойкого повышения Д. настолько увеличилось, что мож-но считать это повышение нередкой б-нью. Происхождение ее должно быть отнесено за счет паралича или пареза диафрагмального нерва, к-рый чаще всего бывает в результате какой-либо инфекции (см. отдельн. табл., рис. 1). Иногда это наблюдали и у новорожденных, у которых вследствие какой-либо акушерской операции была нанесена травма диафрагмальному нерву. Очень похожий «гастрокардиальный симптомоком-плекс» был описан в 1912 г. Ремгель-дом (Roemheld). Однако описываемые им, также далеко не редкие явления, хотя и зависят от ненормального положения Д., но являются результатом не поражения самой Д.,а пат. брожения в пищеварительном тракте при наличии невроза сердца. Аналогичные симптомы может вызвать также и под-диафрагмальный абсцес, при к-ром имеется уменьшение фнкц. способности Д., с одной стороны—вследствие распространения воспалительного процесса на Д., с другой стороны—вследствие иногда очень значительн. смещения самой Д. абсцесом (см. отд. табл., рисунок 2).—Следует упомянуть о приобретенных или врожденных дефектах Д., т. н. диафрагмальной грыже (см. отд. табл., рис. 3). Это заболевание может протекать вполне бессимптомно или дает симптомы, к-рые невозможно отличить от симптомов вышеописанного одностороннего стойкого повышения Д. Только тщательное и всестороннее рентгеновское исследование дает возможность правильно поставить ди-ференциальную диагностику. К числу наиболее верных диференциально-диагностиче-ских признаков относятся парадоксальное движение Д. при опыте Мюллера и экспираторное ускорение движения Д. при феномене Диллона. В отношении диафрагмальной грыжи, как приобретенной, так и врожденной, единственно правильным методом лечения является оперативное вмешательство, даю- щее полный успех. Таким же успешным является и хирургическое вмешательство при поддиафрагмальном абсцесе.—Что касается других б-ней Д., являющихся результатом потери ее тонуса и вызывающих ее смещение вверх, то в таких случаях лечение должно преследовать 3 задачи. 1. Оно должно развивать и укреплять диафрагмаль-ную мышцу, поскольку она еще не окончательно потеряла свой тонус и не подверглась атрофии; для этого следует систематически упражнять ее и упорно воспитывать больного в смысле правильного дыхания помощью Д. 2. Оно должно содействовать уменьшению скопления газов под Д. Для этого следует заботиться о правильном желудочном и кишечном пищеварении, назначая надлежащую диету. Особенно же следует избегать употребления каких бы то ни было питательных веществ, содержащих в большом количестве легко вызывающую брожение клетчатку. 3. Наконец разумными гиг. мерами следует приучить б-ного к возможно меньшему отягощению пищеварительного тракта и особенно избегать питья горячей жидкости, при к-ром не только заглатывается, но и засасывается большое количество воздуха в желудок. Все эти меры дают б. ч. значительное облегчение б-ному. Там однако, где Д. окончательно утратила свой тонус и где вследствие полной атрофии она превратилась в тонкую, потерявшую эластичность перепонку,—указанные меры едва ли могут помочь больному, и тогда также следует прибегнуть к хирургич. вмешательству, что и было неоднократно с успехом выполнено. я. дилдон. Ранения Д. бывают проникающие (открытые) и подкожные (закрытые). Наиболее частыми причинами проникающих ранений являются колотые, резаные и огнестрельные раны. Колотые и резаные раны встречаются преимущественно слева, т.к. наносятся правой рукой нападающего (чаще всего ножом или кинжалом). Интересно отметить, что в большинстве случаев рана наносится сверху вниз, и лишь в статистиках итальянских хирургов (Rossi) отмечается направление снизу вверх. Кожная рана расположена б. ч. в VII, VIII и IX межреберьи по боковой поверхности тела. Размеры раны Д. колеблются от нескольких мм до громадного отверстия длиной в 15 см. Огнестрельные ранения Д., особенно часто встречавшиеся во время империалистской войны, бывают также самой различной величины. Особенно тяжелыми являются раны, нанесенные в лежачем или в стоячем положении (снаряд, сброшенный с аэроплана). При этом ранящий снаряд, проходя по длине тела, может захватить с собой осколки раздробленных им костей, причиняющие громадные рваные раны. Клин, картина ран Д. зависит от величины раны и характера сопутствующих повреждений. Изолированное неосложнен-ное ранение Д. может протекать почти без симптомов, патогномоничных для данного вида повреждений, или же давать лишь незначительные симптомы, зависящие от раздражения п. phrenici: боли при глубоком вдохе, отдающие в плечо. Благодаря этому такие ранения Д. часто не диагносцируются, и терапия сводится лишь к наложению кожных швов. Такие ошибки имеют нередко последствием развитие диафрагмальных грыж. Значительно легче диагносцируется ранение Д., сопровождающееся выпадением внутренностей (чаще всего сальник). Совершенно другую клин, картину приходится наблюдать при ранениях Д. более значительных размеров, нередко осложненных выпадением органов брюшной полости (желудок, печень, селезенка, кишки) и почек в грудную полость и ранением их. При этом отмечается отставание соответствующей половины Д. при дыхании, тимпанит на соответствующей половине грудной клетки, усиленное участие в дыхании межреберной мускулатуры, боли и чувство давления в груди, задержка газов и кала без наличия симптомов перитонита, шок, смещение сердца (при ранениях слева). Ранение печени, селезенки, легкого или почки, вызывая обильное внутреннее кровотечение, обычно быстро ведет к гибели б-ного, доставляемого в лечебное учреждение in extremis. По статистике Изе-лина (iselin), 63,9% случаев осложненных ранений Д. погибает, в то время как при неосложненных ранах Д. смертельный исход наблюдался лишь в 16,9% случаев. Подкожные (закрытые) повреждения—разрывы Д. происходят под влиянием внешних насилий (сдавление грудной клетки или верхнего отдела брюшной полости вагонными буферами, колесами телеги или автомобиля, падение с большой высоты), реже — от внезапного повышения внутрибрюшного давления (родовые схватки, рвотные движения). Симптомы сходны с таковыми при проникающих ранениях, но отсутствие раны делает диагностику еще более затруднительной и тем самым ухудшает прогноз. И здесь характер клинической картины зависит от степени повреждения диафрагмы и большего или меньшего вовлечения в процесс органов брюшной полости. Трудность точной диагностики, опасные осложнения как непосредственные (смерть от кровотечения, перитонита), так и отдаленные делают обязательным хир. вмешательство уже при малейшем подозрении на ранение Д. Наилучший доступ дает трансплевральная ляпаро-томия.—Операция при неосложненном ранении Д. заключается в наложении швов на отверстие в Д.; выпавшие внутренности подлежат осмотру и вправлению в брюшную полость. Ранение органов брюшной и грудной полостей значительно осложняет операцию и заставляет иногда отказаться от трансплеврального пути и перейти на обычную ляпаротомию через переднюю стенку живота. С поврежденными органами поступают по общим правилам хирургии брюшной полости в зависимости от характера органа и степени ранения. Зауербрух (Sauer-bruch), имеющий большой материал по ранениям Д. как в мирной, так и в военной обстановке, отмечает уменьшение смертности в зависимости от расширения показаний к оперативному вмешательству при малейшем подозрении на ранение Д.—В о с п а-лительные процессы Д., являясь почти всегда вторичными, зависят от перехода процесса с соседнего органа грудной или брюшной полости и почки; лишь редко встречаются переносы по лимфатическим путям из отдаленных мест; сюда относятся острые воспалительные процессы (плеврит, под-диафрагмальный абсцес) и хронические туберкулез, актиномикоз, сифилис), а также эхинококк. Являясь лишь вторичными осложнениями заболеваний соседних органов, эти заболевания, не имея своей специфической симптоматологии, не нуждаются в особом описании. Сказанное сейчас в полной мере относится также к новообразованиям диафрагмы, которые всегда бывают лишь вторичными, исходящими из соседних органов И Тканей. Н. Блументаль. Лит.: В и к к е р М., Диафрагматит и диафраг-мальный симптомокомплекс, Ростов н/Д, 1926; Дев О., Рентгенологические наблюдения в патологии диафрагмы, Клин, мед., 1926, №2;Жолондзъ А., О ранах в диафрагме и зашивании их, Нов. хир. арх., т. X, кн. 4, 1926; Кутоманов П., К хирургической анатомии грудобрюшного нерва на шее, в связи с фреюшотомией, Врач, дело, 1924, Л» 7; Троицкая, Лимфатические сосуды диафрагмы, Вестн. хир., т. VI, кн. 35, 1926; Успенский А., Рентгенодиагностика, заболеваний диафрагмы, Тер. арх., т. III, вып. 5—6, 1925; Черепнина М., Патологическая анатомия диафрагмы, Моск. мед. шурн.. 1925, № 4; Шпирт Я., К клинике relaxatio diaphragmatica, Врач, дело, 1925, № 19—20; В с г g-mann J.. TJber Relaxatio diaphragmatica, Erg. d. inner. Med., B. XII, 1913 (лит.); Dillon J., Tjber einseitigen persistierenden Zwerchfellhochstand, Erg. d. med. Strahlcnforsch., B. Ill, 1928; D tinner L. u. H e i 1 b о г n A., Zur Behandlung der doppelsei-tigen Lungcntuberkulose mit Pneumothorax und Phre-nikusexhairese, Deutsche med. Wochenschr., 1929, № 3; E p p i n g e r H., Allgeraeine u. spezielle Patho-logie des Zwcrchfelles, Wien—Lpz., 1911; Eppin-gerH. u. HofbauerL., Kreislauf im Zwerchfell, Zeitschr. f. klin. Med., B. LXXII, 1911; Felix W., Die Phrenieus-Ausschaltung bei Lungenerkrankungen, Erg. der Chir., B. XVIII, 1925 (лит.); Haber-1 a h A., Vergleichende Untersuchungen iiber den Bau des Zwcrchfelles der Haussaugetiere, Dresden, 1911; Heller E., Zwerchfell, innere Hernien, Darmkanal (Allg, diagn. u. therap. Irrtumer u. deren Verliiitung, hrsg. v. J. Schwalbe, Abt.—Chirurgie, H.9, Lpz., 1928); Hitzenberger K., Das Zwerchfell in gesundem u. krankem Zustande, Wien, 1927 (лит.); L a n d о i s F., Die Chirurgie des Zwerchfelles u. des Nervus phre-nicus (Cnirurgie, hrsg. v. M. Kirschner u. 0. Nord-mann, B. IV, T. 1, B.—Wien, 1928, лит.); MOller L., Die Lebensnerven, В., 1924; N a t h e r K., Die snbphrenischen Abszesse, Erg. der Chir., B. XVIII, 1925 (лит.); Nissen R. u. Wustmann O., Der Einfluss des pathologischen Zwerchfellstandes auf die Blutstromung in der unteren Hohlvene, Deutsche Zeitschr. f. Chir., B. CCIII—CCIV, 1927; Sauer-b r u с h F., Die Chirurgie der Brustorgane, B. II, В., 1925 (лит.); Schumacher E.u. HaeckerR., Die Chirurgie des Zwerchfelles (Hndb. d. prakt. Chirurgie, hrsg. v. С Carre, H. Kuttner und E. Lexer, B. II, Stuttgart. 1924).
Смотрите также:
- ДИАФРАГМА В ПРИБОРАХ оптических, представляет непрозрачный экран с отверстием, ограничивающий пределы светового р, пучка, распространяющегося |]_ в оптической системе. Назна- х^3^51^. чение Д. ...
- ДИАХИЛЬНАЯ МАЗЬ, свинцовая мазь Гебры, Unguentum diachylon Hebrae. По Ф VII готовится из равных частей свинцового пластыря и белого вазелина. Мазь однообразной консистенции, беловатого цвета; приготовляется ex tempore. По герм, фармакопее ...
- ДИАХИЛЬНЫЙ ПЛАСТЫРЬ (свинцовый простой), Emplastrum Plumbi simplex, E. Lithargyri simplex, E. diachylon simplex, получается по Ф VII варкой до полного омыления равных частей деревянного масла, очищенного свиного сала и окиси свинца (в ...
- DIBOTHRIOCEPHALUS, см. Лттецы.
- DIV. IN P. AE0-, латинское сокращение в рецепте, означает: divide in partes aequa-ies—раздели на равные части.